汇智和源生物技术(苏州)有限公司品牌商

13

手机商铺

qrcode
商家活跃:
产品热度:
  • NaN
  • 0.7999999999999998
  • 0.7999999999999998
  • 2.8
  • 2.8
文献支持
体外染色体畸变试剂盒(CA试验)
¥10
品牌商

汇智和源生物技术(苏州)有限公司

入驻年限:13

  • 联系人:

    IPHASE

  • 所在地区:

    江苏 苏州市 昆山市

  • 业务范围:

    技术服务、试剂、耗材

  • 经营模式:

    生产厂商

在线沟通

公司新闻/正文

IPHASE/汇智和源 体外哺乳动物细胞染色体畸变试验热点问题解答【下】

292 人阅读发布时间:2023-11-03 13:42

体外哺乳动物细胞染色体畸变试验常见问题与解答
—热点问题—

第一题    一张玻片可观察到200个中期分裂相吗?如果不够,该如何处理?
大多数情况下,一张玻片很难找到200个可用于分析的中期分裂相,建议同一个剂量组多制作一些玻片,本公司一个剂量组通常会制作至少4张玻片,以保证足够中期分裂相细胞可供分析。

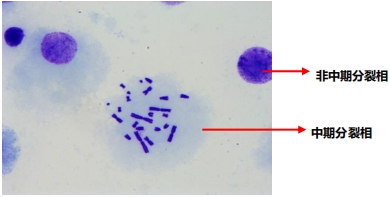
第二题    如何辨别细胞是否处于中期分裂相?
中期分裂相细胞染色体数目、形态比较固定,染色体包含两条染色单体,具体见下图:
新闻图片1
第三题    有丝分裂指数测定的意义是什么?
中期分裂相指数是指所观察的细胞中中期分裂相细胞的占比,是一项反映细胞增殖程度的指标。

第四题    油镜如何使用?是否要将油镜镜头整个浸入油中?
油镜的使用需要搭配香柏油,香柏油与玻璃的折光率相近,光线穿过载玻片进入香柏油发生折射较少,而进入油镜的光较多,视野较为明亮。油镜使用时,需要将油镜镜头浸入香柏油中,并与玻片接触,使用结束后使用少量二甲本擦拭干净镜头。

第五题    中期分裂相细胞少是什么原因导致?如何优化?
中期分裂相细胞少的原因如下:

(1)秋水仙素的剂量过小,作用时间过短;
(2)重悬时固定液量过大,细胞密度过低。

优化策略:
(1)秋水仙素剂量大,则作用时间短;
(2)秋水仙素剂量小,则适当延长作用时间,请选择适宜的剂量和时间;
(3)根据细胞的收集量确定重悬体积;
(4)适当增加滴片的数量。

第六题    染色体聚集可能是由哪些原因导致?
染色体聚集的可能原因如下:


(1)秋水仙素用量过多,导致染色体的过度浓缩;
(2)低渗时间不足,导致染色体聚集在一起分散不开;
(3)细胞悬液未充分吹打均匀;
(4)载玻片未进行预冷,玻片表面张力不够;
(5)滴片高度不够。

第七题    染色体分散过度可能是由哪些原因导致?
染色体分散过度的根本原因就是细胞膜破裂。主要由以下可能:


(1)低渗时间过长;

(2)离心速度过高;

(3)细胞操作过程不注意,操作过度;

(4)滴片距离过高。

第八题    染色体畸变试验阅片需要配套什么样的显微镜?如何操作?
染色体畸变试验使用中期分裂相阻断剂(如秋水仙素或秋水仙胺)处理细胞,使细胞停止在中期分裂相,此时染色体形态、数目都比较固定,使用普通生物显微镜即可进行染色体结构畸变观察。先于低倍镜下寻找背景清晰、分散良好、染色体收缩适中的中期分裂相细胞,再于油镜下进行染色体畸变观察并记录。

第九题    玻片想要长期保存,需要如何处理?
如果玻片要长期保存,必须要做好封片(可使用中性树脂胶并加盖玻片),并置于阴凉干燥处保存。

发    文    章    得     奖    励

凡使用本公司产品,在国内及国际刊物上发表论文(论文发表日起一年内),并注明产品属于汇智和源/IPHASE所有,即可申请奖励。根据发表刊物影响因子不同,给予不同金额奖品:

非SCI论文及IF≤5分,500元礼品;

5分<IF≤8分 800元;

8分<IF≤10分 1000元;

IF≥10分 2000元;

注:礼品卡也可兑换同等金额产品购买抵用券;

活动多多,礼品丰厚,快来参与吧!

关    于    我    们

汇智和源,致力于为创新药研发企业及生命科学研究机构提供高品质的生物试剂,IPHASE为公司核心品牌,品牌宗旨“Innovative Reagents For Innovative Research”。

上一篇

小核酸/ADC药研发好帮手:IPHASE多种属酸化肝组织匀浆

下一篇

IPHASE/汇智和源 体外哺乳动物细胞染色体畸变试验热点问题解答【上】

更多资讯

我的询价