IPHASE/汇智和源全新升级T淋巴细胞增殖试剂盒,为T淋巴细胞(CD3+T细胞、CD4+T细胞、CD8+T细胞)体外刺激增殖提供简单、高效、便于操作的方法。从单细胞悬液中免疫分选出的高纯度淋巴细胞亚群在体外经信号分子特异性刺激,即可模拟体内淋巴细胞增殖过程,获得数量足够多的淋巴细胞,供细胞免疫研究领域后期使用。
表 1 IPHASE/汇智和源T细胞刺激增殖试剂盒

1 产品原理
T细胞是淋巴细胞中最主要的两大群体之一,可以识别自己与非己,是机体适应性免疫应答的最主要效应细胞之一,更是体内抗癌的主力军。T细胞在体内发生特异性免疫应答的过程是抗原提呈细胞将抗原加工处理后,与MHC分子形成抗原肽-MHC复合物,提呈给T细胞,活化T细胞,启动机体的抗原特异性免疫应答。

图1 T细胞识别抗原
T细胞的体外刺激与增殖原理上模拟了其在体内增殖的机制。
① T淋巴细胞刺激的双信号
T淋巴细胞体外的刺激需要CD3以及CD28同时存在,单独有CD3存在时,T细胞处于静息状态,只有在CD3以及CD28同时存在时,才能够激活T细胞。
② 细胞因子的存在,是T细胞增殖的必备因素。
2 产品特点
简单易操作:无需包板,即可完成对细胞的刺激。

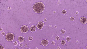
图 2刺激因子刺激3天后,T细胞形成细胞簇
分选后纯度高:经分选后的CD3+T细胞纯度高。

图 3试剂盒分选后T细胞纯度
增殖效率高:高效的刺激方式,更高的细胞得率;

图 4 细胞刺激增殖倍数
细胞活率高:刺激温和,原料严选,对细胞无毒性,增殖后细胞活率持续在90%以上;

图 5细胞增殖过程中活率监测
应用范围广:刺激增殖后的细胞可用于肿瘤杀伤、细胞转染以及RNA提取等验证。
IPHASE/汇智和源T细胞体外增殖试剂盒为客户提供操作更简单、步骤更清晰的体外淋巴细胞增殖产品,对原材料厂家进行了对比筛选,优化了各个操作细节,为研究学者的前期研究提供成功的保证。
3 IPHASE细胞增殖相关产品
发 文 章 得 奖 励
凡使用本公司产品,在国内及国际刊物上发表论文(论文发表日起一年内),并注明产品属于
北京汇智和源/IPHASE所有,即可申请奖励。根据发表刊物影响因子不同,给予不同金额奖品:
非SCI论文及IF≤5分,200元礼品;
5分<IF≤10分 300元;
10分<IF≤15分 500元;
IF≥15分 1000元;
活动多多,礼品丰厚,快来参与吧!
关 于 我 们
汇智和源,致力于为创新药研发企业及生命科学研究机构提供高品质的生物试剂,IPHASE为公司核心品牌,品牌宗旨“Innovative Reagents For Innovative Research”。